/
Esami accurati con uno staff tutto al femminile, tecnologia avanzata con minori radiazioni e un ascolto attivo delle tue esigenze. 
La mammografia che mette al centro la tua tranquillità 
Ogni esame è pensato non solo per garantire immagini di alta qualità, ma per accompagnarti con delicatezza in un momento importante per la tua salute.

Da sempre, Sani Medical unisce tecnologia avanzata, competenza specialistica e ascolto autentico: un metodo di lavoro che mette la persona al centro, riduce le attese, chiarisce ogni passaggio e trasforma la diagnostica in un percorso di fiducia.
Il nuovo servizio di mammografia nasce per offrire alle donne un’esperienza diagnostica più serena, attenta e rispettosa.
Sottotitolo: Tecnologia avanzata, attenzione femminile e massimo comfort per un controllo più sereno e affidabile.
 
Scopri un nuovo standard per la tua mammografia 
Per molte donne, sentirsi comprese fa la differenza. Il nostro team accompagna ogni paziente con sensibilità, rispetto e attenzione, creando un clima di fiducia durante tutta la visita.
Uno staff medico e tecnico tutto al femminile
Secondo blocco di Benefits. Il comfort è sotto il tuo controllo. La nostra tecnologia avanzata permette di gestire il livello di compressione del seno, riducendo il fastidio e rendendo l’esame più tollerabile, senza compromettere l’accuratezza diagnostica.
Il comfort è sotto il tuo controllo
Dall’accoglienza alla refertazione, ogni fase è progettata per offrirti chiarezza, attenzione e tempi rapidi, secondo il metodo di Sani Medical Center.
Un’esperienza pensata per il tuo benessere
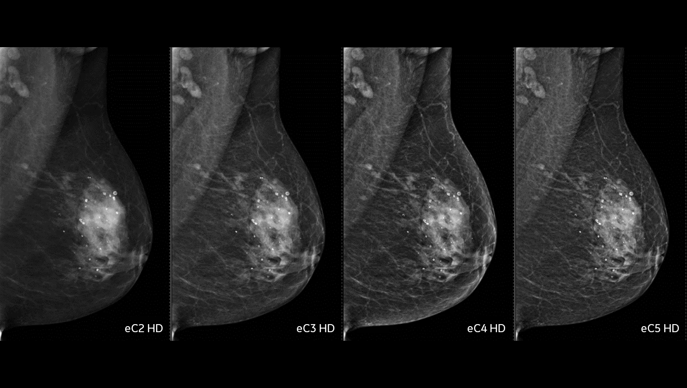
Immagini di altissima qualità: diagnosi più precisa
Quattro livelli di contrasto permettono una lettura più accurata delle immagini, migliorando la capacità diagnostica e riducendo il rischio di interpretazioni incomplete.
La combinazione tra immagine 2D sintetica e tomosintesi (DBT) consente di analizzare il seno “strato per strato”, offrendo una visione più chiara del tessuto mammario rispetto alle tecniche tradizionali.
Grazie a una tecnologia diagnostica di ultima generazione, il nuovo servizio di mammografia di Sani Medical Center garantisce immagini estremamente dettagliate, fondamentali per individuare anche le più piccole alterazioni.
Il risultato è un esame più affidabile, più preciso e più sicuro, a supporto di una diagnosi tempestiva e accurata.
Prendersi cura della propria salute inizia da una scelta consapevole.
+39
Compila il modulo o Chiamaci: un nostro operatore risponderà alle tue domande con attenzione e senza alcun impegno 
Tel. 0861 230045
/
Se preferisci parlare direttamente con noi?
Sani Medical Center - Via Cesare Beccaria 12, 64021 Castellalto TE
P.I. 01928020674